ALL ON 6 COSTA RICA DENTAL IMPLANTS
6 DENTAL IMPLANTS UPPER AND 6 DENTAL IMPLANTS LOWER
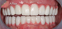
ALL ON 6 - DENTAL IMPLANTS - SAVE A LOT IN COSTA RICA $18,900 - $26,000
ALL ON 6 COST - 6 DENTAL IMPLANTS PER ARCH - HYBRID ACRYLIC OR ZIRCONIUM FIXED BRIDGES - phasing out porcelain over metal
ALL ON 6 COST - 2 TRIP - ARCH(6 dental implants) - $9,400 - $13,020 depends on type of dental bridge and dental implant clinic
All on 6 dental implants per arch cost - Hybrid Acrylic Fixed Bridge with 6 dental implants - $9,400 - $10,218
All on 6 dental implants per arch cost - Monolithic Zirconium Fixed Bridge with 6 dental implants - $9,00 - $13,218
ALL ON 6 - 2 TRIP - FULL MOUTH (12 dental implants) - $18,900 - $26,040 depends on type of dental bridge and dental implant clinic
Bone grafts and Sinus lifts - extra
IV sedation extra - $1,200 - $625
Usually can do extract of teeth and placing of dental implants in 1 visit. Still need 2nd visit for crown over dental implant.
Takes 2 trips 4-6 months apart. You have temporary teeth between trips. 1st trip 5 full business days (extractions,implants,temp teeth) . 2nd trip 8 full business days(place fixed bridges).
|

ALL ON 6 DENTAL IMPLANTS
ALL ON 8 - 8 DENTAL IMPLANTS PER ARCH (8 dental implants)
ALL ON 8 DENTAL IMPLANTS Fewer are being done in Costa Rica. ALL ON 8 use to be needed with porcelain over metal because those dental implant bridges were heavy.
ALL ON 8 - 8 DENTAL IMPLANTS PER ARCH (8 dental implants)
BEING REPLACED BY ALL ON 6 EXCEPT FOR VERY WIDE JAW OR OTHER SPECIAL CONSIDERATIONS
|
|