COSTA RICAN DENTAL
FREE STATESIDE ASSISTANCE
TAKING THE WORRY OUT OF DENTAL TRAVEL
(404) 210-9429

Best Cosmetic Dental in Costa Rica - Porcelain Veneers and Emax Porcelain Crowns for A Happy, Healthy Smile


There is a Big Difference between a regular dentist and a Cosmetic Dentist. Any dentist can place a crown or two. It takes exceptional skill to get a row of crowns to line up and then there is getting the top and bottom to sync so the bite is correct. If you want an exceptional happy, healthy, smile you need a Cosmetic Dentist.



FYI - Cosmetic Dentistry with porcelain veneers for front teeth that are relatively healthy but discolored or slightly misshaped or pure porcelain crowns for front teeth with decay or large gapping does not mean that you have to get Pop Out of Your Mouth White. There are at least 5 levels of whiteness that you can select from to get The Happy, Health, Smile that is right for You.





World Class Porcelain Veneers at Substantial Discount


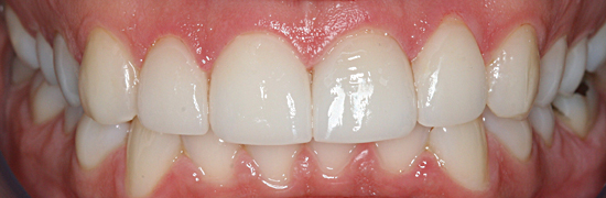
My New Veneers Gave Me The Confidence to Win


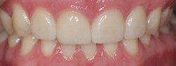
World Class Porcelain Veneers at Substantial Discount

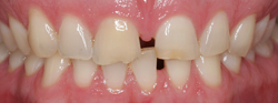
Before My New Veneers I Was Self Conscious About My Smile

(404) 210-9429
Contact

World Class Porcelain Veneers at Substantial Discount

Smiling and Enjoying Life A Lot More With My New Pure Pocelain Veneers

A Dazzling New You - 16 exceptional porcelain veneers of Emax crowns - in 7-8 business days.



BEST COSMETIC DENTAL CLINIC IN COSTA RICA

All dental clinics in Costa Rica have a "can do" attitude. Whatever you want done, they can do it. When it comes to COSMETIC DENTISTY in Costa Rica this is not even close to being true.

It took Costa Rican Dental several trips to Costa Rica to find the better COSMETIC DENTAL CLINICS in Costa Rica.

When doing cosmetic veneer work in Costa Rica there are only a few dental clinics you should consider.




World Class Porcelain Veneers at Substantial Discount

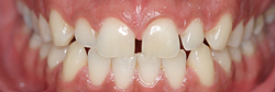
My Teeth Were OK but I Knew I Could Look Better with Porcelain Veneers


Very few dentists, especially in Costa Rica, understand the nuances of COSMETIC DENTISTRY. COSMETIC DENTISTRY requires that the dentist have an intuitive sense of beauty. COSMETIC DENTISTRY really can not be learned. COSMETIC DENTISTRY requires that the dentist possesses advanced dental skills and is also an artist.





World Class Porcelain Veneers at Substantial Discount

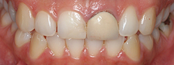
I Love The New Me with Pure Porcelain Veneers



(404) 210-9429
Contact

The major short comings we found with a majority of dental clinics in Costa Rica claiming to do good cosmetic dental work were improper tooth preparation and an incorrect sense of proportion.

In many cases either not enough or too much of the tooth was removed for veneers and crowns. If not enough tooth is removed for veneers, they will be bulky and stick out. Removing too much tooth for veneers and crowns makes it much more difficult to redo these teeth should they need to be redone.

There is also a tendency with a majority of dental clinics in Costa Rica to proportion teeth smaller then most of us would find to be ideal.

For exceptional dental crowns, beautiful dental veneers, or other COSMETIC DENTISTRY our recommended COSMETIC DENTAL CLINIC in Costa Rica should be your only choice.



COSMETIC DENTISTY - PORCELAIN VENEERS

Pocelain veneers are intended to be used for moderate to minor teeth abnormalities - shape, color - where the underlying structure of the tooth is good. Porcelain veneers are preferred to crowns in these cases because they require less shaving of the original tooth.

There are 3 types of porcelian veneers - pressed, layered, and single block. Pressed porcelain veneers are the least expensive but should be avoided because they are the least durable. Layered and single block are the preferred types of porcelain veneers.

Layered veneers are a little less durable than single block veneers, but allow for more variation in coloring. There are very slight variations in the coloring of natural teeth. This can be better captured with layers. While not quite as strong as single block veneers, they work well for all but those known to be mild grinders.

Single block porcelain veneers are the most durable. The trade off is that since they are a solid block there is less ability for color variation. Color variation with single block porcelain veneers can be achieve with glazing. Single block are a possibility for moderate grinders, but night guards should be worn.





image